一人ひとりに合わせたプランで安心の治療を
“自分史上最高”の
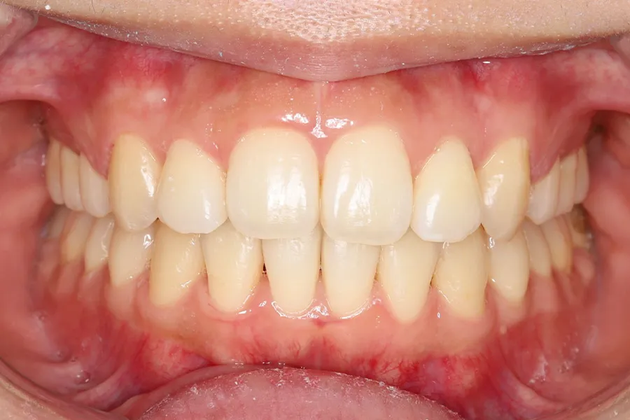
スマイルを中野から
中野の矯正歯科|中野駅ウエスト矯正歯科|中野駅南口から徒歩3分
-
土日も
18時半まで診療 -
中野駅徒歩3分の
好立地 -
安心のトータル
フィー制度
-
土日も
18時半まで診療 -
中野駅徒歩3分の
好立地 -
安心のトータル
フィー制度
- NAKANO WEST ORTHODONTICS
- NAKANO WEST ORTHODONTICS
- NAKANO WEST ORTHODONTICS
- NAKANO WEST ORTHODONTICS
- NAKANO WEST ORTHODONTICS
- NAKANO WEST ORTHODONTICS
- NAKANO WEST ORTHODONTICS
- NAKANO WEST ORTHODONTICS
中野駅から徒歩3分|中野の歯列矯正専門クリニック
中野駅から徒歩3分
中野の歯列矯正専門クリニック
一人ひとりのお悩みやご希望に合わせて、最もふさわしい矯正治療をご提案します。
矯正専門医による正確な診断と丁寧なカウンセリングで、納得と安心のもと治療を始めていただけます。
平日は19時まで、土日も18時半まで診療しております。
| 診療時間 | 月 | 火 | 水 | 木 | 金 | 土 | 日 |
|---|---|---|---|---|---|---|---|
| 10:00-13:30 | ● | ● | ● | ● | ● | ● | ● |
| 15:00-19:00 | ● | ● | ● | ● | ● | ▲ | ▲ |
- 診療日カレンダーはこちら
- 休診日:不定休
- ▲:14:30~18:30
24時間WEB予約
24時間WEB予約
CONCEPT
“自分史上最高” のスマイルを中野から
皆様が笑顔で過ごせるように、
当院は全力でサポートいたします。
そのために、患者様お一人おひとりの
お話を丁寧にお伺いし、
“あなたにぴったりの”治療を
ご提供いたします。
納得のいく治療法を、
矯正治療認定医と共に
じっくりご相談いただけます。
どんなに小さなお悩みでも
中野駅ウエスト矯正歯科へ
お気軽にご相談ください。
1人1人に向き合った
丁寧な治療を心がけます。
まずはお気軽に『矯正相談』へ!
当院では、一生に一度の大切な治療を安心してお受けいただけるよう、専門性に特化した診療体制を整えております。初診相談では、患者さまが抱えているお悩みを丁寧に伺い、考えられる治療方法や期間、費用について、納得できるまでわかりやすくご説明いたします。歯並びでお困りの方はお気軽にご相談ください。
-
\ 電話でのご予約/ご相談 /
-
\ 24時間いつでも簡単 /
DOCTOR
院長ごあいさつ
中野の矯正歯科|中野駅ウエスト矯正歯科
中野駅ウエスト矯正歯科 院長
西村 達郎
矯正治療に関する
不安や疑問に寄り添います
中野駅ウエスト矯正歯科院長の西村達郎と申します。
これまで大学病院や専門クリニックなどで子供から大人まで幅広い患者様の矯正治療に携わってまいりました。ひとりひとり異なるお口の状態やライフスタイルに合わせ、人生で一度きりの矯正治療のお手伝いをさせていただければ幸いです。
経歴
- 東京歯科大学歯学部 卒業
- 東京歯科大学
歯科矯正学講座 - 東京歯科大学大学院
歯学研究科 - 東京歯科大学水道橋病院
矯正歯科 - 東京、埼玉、千葉の歯科医院にて
矯正担当医として勤務
所属学会・資格
- 学位取得(歯学博士)
- 日本矯正歯科学会
- 顎変形症学会
- 日本舌側矯正歯科学会
中野駅ウエスト矯正歯科 副院長
西村 真由子
将来の健康や自信にも繋がる
大切な医療をサポートします
中野駅ウエスト矯正歯科副院長の西村真由子と申します。 私自身も歯科医師として、そして一人の母として、笑顔の大切さを日々感じています。大学病院の矯正歯科に6年間在籍し、その後も矯正治療を専門として複数の歯科医院で幅広い年齢の患者様の矯正治療に携わってきました。矯正治療は見た目の改善だけでなく、将来の健康や自信にもつながる大切な医療です。
経歴
- 東京歯科大学歯学部 卒業
- 東京歯科大学
歯科矯正学講座 - 東京歯科大学水道橋病院
矯正歯科 - 埼玉の複数の歯科医院にて
矯正担当医として勤務
所属学会・資格
- 日本矯正歯科学会
- 顎変形症学会
FEATURES
中野駅ウエスト矯正歯科の
5つの特徴
中野の矯正歯科|中野駅ウエスト矯正歯科
REASON
02.
目立たない矯正治療
矯正治療を受けたいけれど「装置が目立つのは気になる」という方のために、当院では見た目に配慮した矯正治療をご用意しています。セラミック製の審美ブラケットとホワイトワイヤーや、透明のマウスピース型矯正装置などを用いることで周囲に気づかれにくく自然に歯並びを整えることが可能です。
-
REASON
03.
安心のトータル
フィー
システム
当院では、治療費が途中で増えていくことのない「トータルフィーシステム」を採用しています。最初に治療全体の費用をご提示し、毎回の調整料や追加費用が発生しないため、安心して治療を進められます。
-
REASON
04.
「中野駅徒歩3分」
アクセス抜群の立地
当院は中野駅から徒歩3分の通いやすい場所にあり、お仕事や学校の帰りにも気軽にお立ち寄りいただけます。電車やバスなどの公共交通機関からのアクセスも良く、遠方から通院される方にも便利な立地です。
-
REASON
05.
平日は19時まで、
土日も18時半まで
診療
当院では、患者さまのライフスタイルに合わせて通いやすいよう、土日含め、全曜日診療を行っております。平日お忙しい方も、土日・祝日でのご来院が可能です。治療環境を整えておりますので、安心してご来院ください。
TREATMENT
当院の矯正治療
中野の矯正歯科|中野駅ウエスト矯正歯科
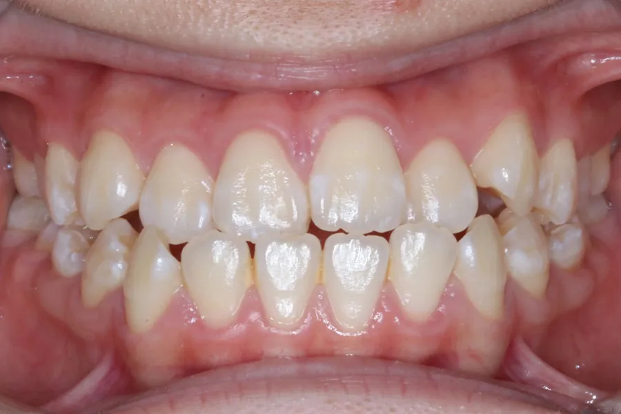
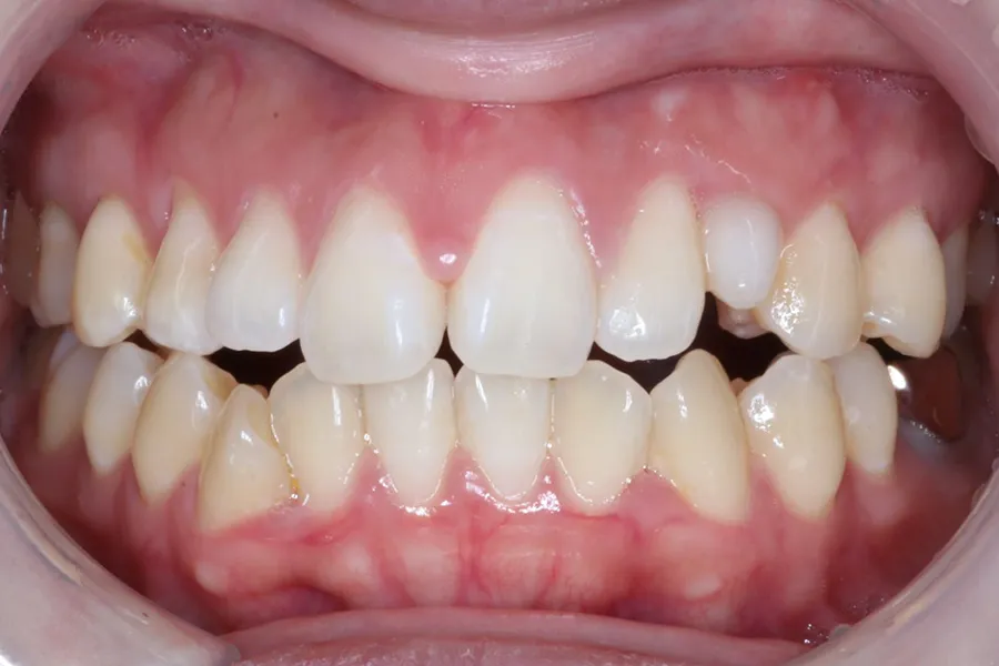
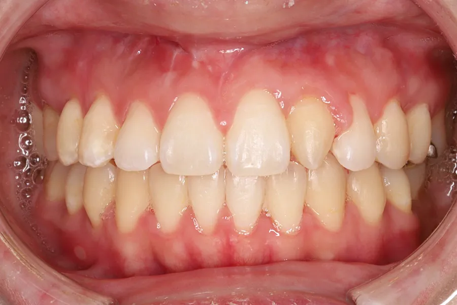
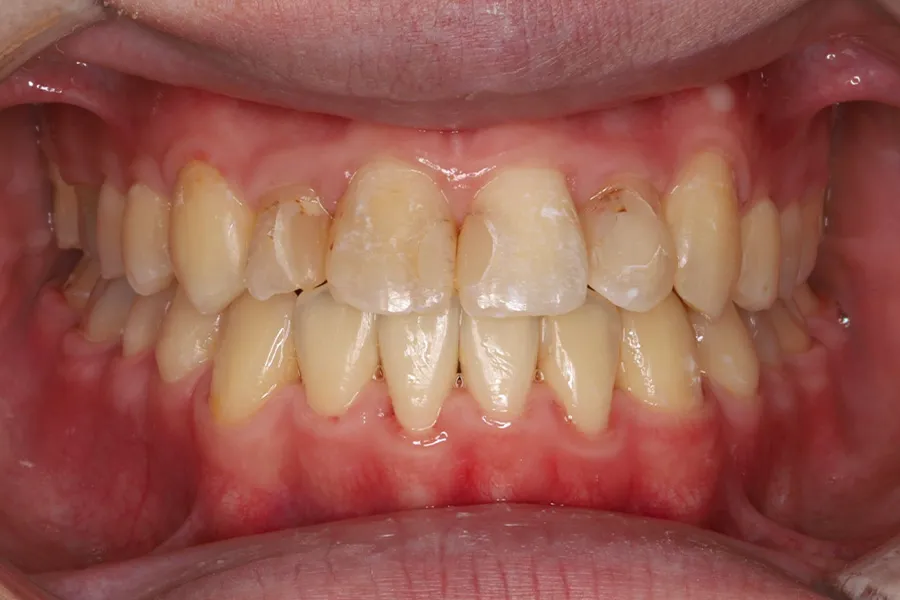
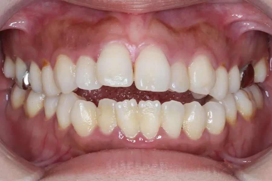
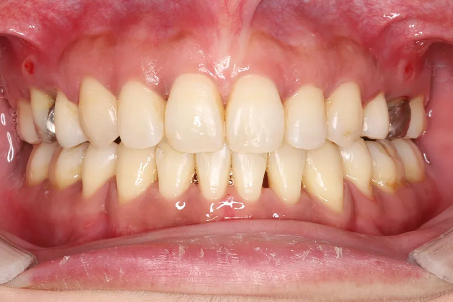
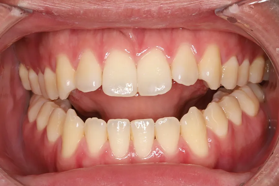
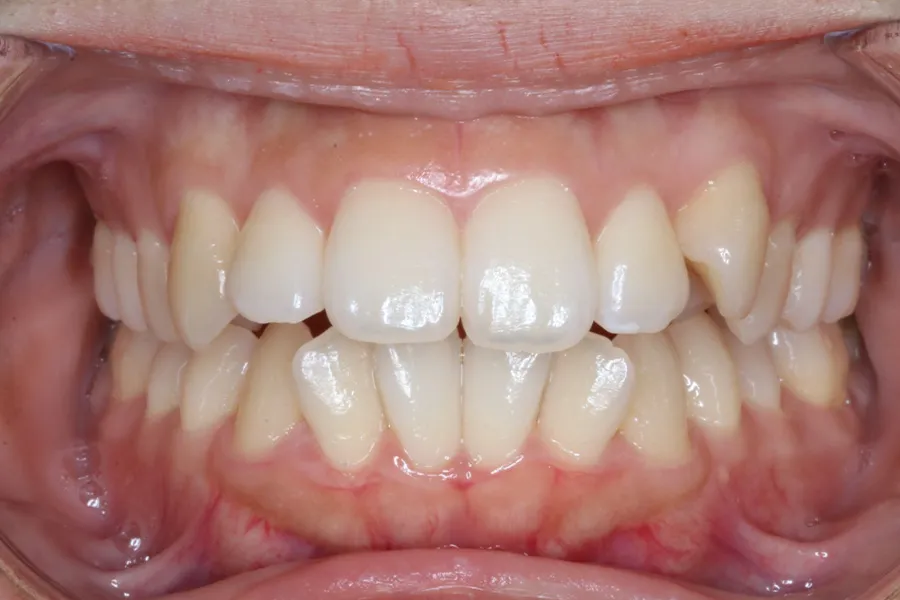
一人ひとり異なる歯並びの お悩みに合わせた治療をご提供します
一人ひとり異なる歯並びの お悩みに合わせた 治療をご提供します
-
永久歯が生え揃った12歳頃〜成人後も
おとなの矯正
顎の成長がほぼ終了し、すべての歯が永久歯に生え揃った方を対象とした矯正治療です。年齢制限はなく、一人ひとりに合った最適な治療方法をご案内いたします。
-
乳歯と永久歯が混在する6~11歳頃
こどもの矯正
子どもの成長段階に合わせて行う矯正治療です。あごの発育を利用して歯並びやかみ合わせを整えることができ、将来的な抜歯や大がかりな治療を避けられる場合があります。
FLOW
矯正治療の流れ
中野の矯正歯科|中野駅ウエスト矯正歯科
-
1ご来院・受付
-
2問診
カウンセリング -
3検査
-
4治療計画の説明
-
5治療
-
6矯正装置の
撤去、
保定装置の装着 -
7定期観察
メインテナンス
PAYMENT
当院では
トータルフィーシステムを
導入しております
当院では「トータルフィーシステム(治療費定額制)」を採用しています。矯正治療にかかる全ての費用を事前にご提示させていただく、というシステムです。
追加費用のない明確な設定なので、毎回の通院費用を気にすることなく安心して矯正治療を始めていただけます。
お支払い方法
FACILITY
設備紹介
中野の矯正歯科|中野駅ウエスト矯正歯科
まずはお気軽に『矯正相談』へ!
当院では、一生に一度の大切な治療を安心してお受けいただけるよう、専門性に特化した診療体制を整えております。初診相談では、患者さまが抱えているお悩みを丁寧に伺い、考えられる治療方法や期間、費用について、納得できるまでわかりやすくご説明いたします。歯並びでお困りの方はお気軽にご相談ください。
-
\ 電話でのご予約/ご相談 /
-
\ 24時間いつでも簡単 /



















