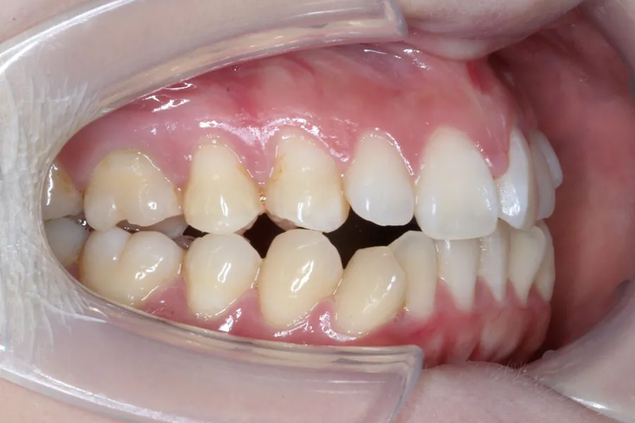
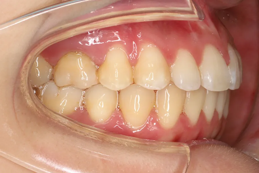
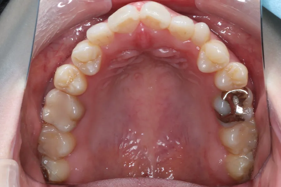
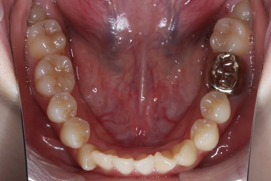
【20代女性】乳歯が残っている・歯が埋まっている・ガタガタを治したい

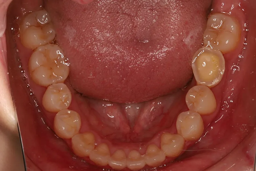
Before

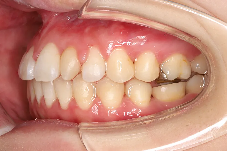
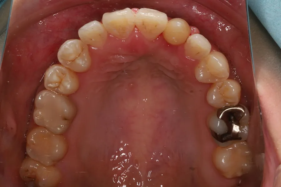
After

担当医 西村先生
主訴 乳歯が残っている・歯が埋まっている・ガタガタを治したい
期間 1年11か月
費用 ¥900,000円
(税込 ¥990,000円)
治療内容 ・上顎右側犬歯(埋伏)、上顎左側乳犬歯、下顎左側第一大臼歯抜歯(3本)
・上顎左側犬歯開窓牽引(1本)上顎右側第三大臼歯移植(1本)
・表側ワイヤー矯正
治療に伴うリスク 歯髄壊死、歯根吸収、歯肉退縮、ブラックトライアングル

関連症例

診療時間
10:00-13:30
15:00-19:00
  • 診療日カレンダーはこちら
  • 休診日:不定休
  • ▲:14:30~18:30

新規のご予約、
治療に関するお問い合わせなど、
お気軽にお問い合わせください。

〒164-0001
東京都中野区中野3丁目40−24 Nakano West 2階

JR中央線・総武線「中野駅」南口から徒歩3分
東京メトロ東西線「中野駅」南口から徒歩3分
「中野駅」南口バス停から徒歩3分