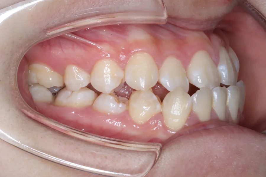
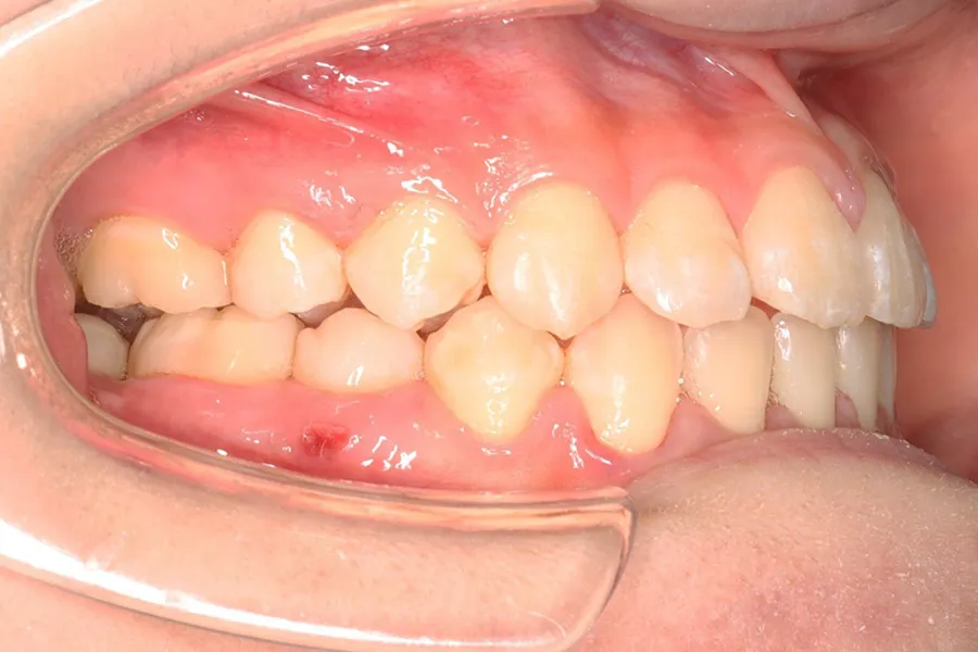
【10代女性】受け口を治したい

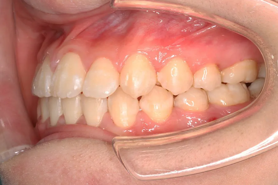
Before

After

担当医 西村先生
主訴 受け口を治したい
期間 1年10か月
費用 ¥900,000円
(税込 ¥990,000円)
治療内容 ・非抜歯
・マウスピース矯正
治療に伴うリスク 歯髄壊死、歯根吸収、歯肉退縮、ブラックトライアングル

関連症例

診療時間
10:00-13:30
15:00-19:00
  • 診療日カレンダーはこちら
  • 休診日:不定休
  • ▲:14:30~18:30

新規のご予約、
治療に関するお問い合わせなど、
お気軽にお問い合わせください。

〒164-0001
東京都中野区中野3丁目40−24 Nakano West 2階

JR中央線・総武線「中野駅」南口から徒歩3分
東京メトロ東西線「中野駅」南口から徒歩3分
「中野駅」南口バス停から徒歩3分